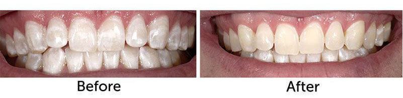
Our caring dentists and team have helped countless individuals and families achieve excellent oral health and beautiful smiles. Please explore our gallery to see some of the amazing results we have achieved. If you have questions about our dental services in Marriottsville, Maryland, and to make an appointment with Dr. Ann Zinger or Dr. Lani Yap-Encomienda, please call RZ Dental Group today at 410-442-5678.
ZOOM Whitening
ICON

410-442-5678
Appointment














